Salud

Hallan una lombriz solitaria en el cerebro de un paciente

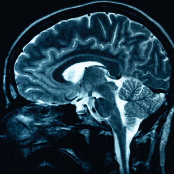
Los Angeles.- Un estudiante californiano se quejaba de violentas migrañas y los médicos finalmente hallaron al culpable: una lombriz solitaria que se había alojado en su cerebro... y casi le cuesta la vida.

Luis Ortiz, estudiante de Sacramento (California, oeste de Estados Unidos), contó a la cadena de televisión CBS que consultó a un médico tras sufrir dolores de cabeza y vómitos.

Radiografías de su cerebro revelaron así la presencia del intruso, que se había instalado en un quiste.


"¡Oh! Tiene un parásito en su cabeza. Vamos a operarlo y rápido, porque si no probablemente morirá", recordó que le dijeron los médicos.

Cómo la lombriz solitaria, que en general opta por alojarse en el intestino, llegó a ese lugar, aún es un misterio tanto para los médicos como para Ortiz, que ahora manifiesta estar "feliz de estar vivo".
 

Tags:
Más leídas
 
Lo más reciente