Internacional

Anciana rusa descubre que ha tenido una aguja enterrada en su cerebro desde que era bebé

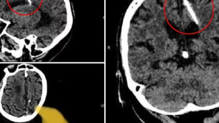
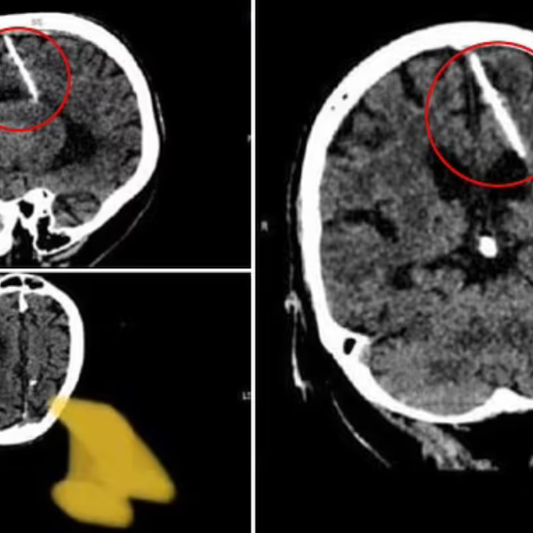
Por medio de una tomografía computarizada, una mujer rusa de 80 años descubrió que ha tenido una aguja de tres centímetros enterrada en su cerebro desde que era bebé.

Por medio de una tomografía computarizada, una mujer rusa de 80 años descubrió que ha tenido una aguja de tres centímetros enterrada en su cerebro desde que era bebé.

Los doctores encontraron el objeto cuando la anciana acudió al hospital de Sakhalin, una isla al norte de Japón, para realizar unas revisiones médicas no especificadas. Puesto que nunca experimentó síntomas por el elemento introducido en cuestión, los galenos prefirieron abstenerse de extraerlo por medio de una cirugía.

El equipo de expertos que revisó su caso concluyó que la mujer, cuyo nombre no fue revelado, podría haber sobrevivido a un asesinato cuando era bebé, en 1943, año en el que la Unión Soviética atravesaba una hambruna sin precedentes que provocó la muerte de casi once millones de personas, en el marco de la Segunda Guerra Mundial.

Este tipo de infanticidio se registró con relativa frecuencia en aquel entonces y comúnmente era llevado a cabo por padres que no estaban en capacidad de proveer recursos esenciales, como comida y ropa, a los hijos que ya tenían.

$!Según los especialistas, someter a la paciente a una cirugía implicaba un mayor riesgo para su vida que el que podría acarrear que el objeto permanezca allí. En la fotografía de referencia se observa a una anciana en su día a día.,

El departamento de salud de Sakhalin detalló en la aplicación de mensajería Telegram que "la aguja penetró en su lóbulo parietal izquierdo, pero no tuvo el efecto deseado, la niña sobrevivió (...) La salud del paciente no está en peligro; su estado está siendo supervisado por el médico tratante”.

Lea también: Trabajadora despedida por "chismosa" recibirá indemnización tras demandar a la empresa implicada

El caso médico se volvió viral por las imágenes compartidas de las tomografías en las que se puede observar la fina varilla metálica entre el cerebro de la paciente. Tras aproximadamente ocho décadas en las que la anciana ha vivido con el objeto sin experimentar un malestar que devenga de este, los expertos pronostican que no enfrentará complicaciones en el futuro.

Más leídas
 
Lo más reciente