La lesión que dio inicio a su martirio, similar a una quemadura, era en realidad la temible Úlcera de Buruli, una enfermedad tropical poco conocida y devastadora.
Broadhurst había estado inseguro de su apariencia desde que, en 1959, un problema dental le provocó el crecimiento de sus mejillas. Esta condición le llevó a tener problemas en sus relaciones amorosas.
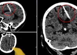
Por medio de una tomografía computarizada, una mujer rusa de 80 años descubrió que ha tenido una aguja de tres centímetros enterrada en su cerebro desde que era bebé.
Lo que se convirtió en una pesadilla para Nakita Harden, una mujer del condado inglés de Norfolk, inició tras una noche de bolos junto a su novio, Jordan, en la que no notó nada inusual, salvo un pequeño rasguño en su dedo pulgar.
Una lombriz parásita usualmente encontrada en serpientes fue retirada "viva y coleando" del cerebro de una mujer, algo que no se había visto en los registros médicos.